Syndesmotic Injury(High Ankle Sprain)
What is the Ankle Syndesmosis?
The two bones of the leg (tibia and fibula) are connected just above the ankle by strong ligaments. This connection is called the ankle syndesmosis. It allows a small amount of movement between the leg bones during activities.
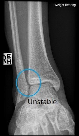
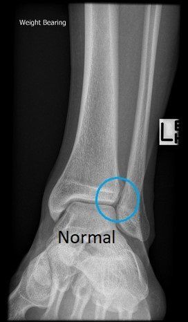
See images below
and Ankle - Anatomy and Imaging.
What is an Ankle Syndesmotic Injury?
Twisting the leg on a planted foot can tear these ligaments, making the syndesmosis unstable. Occasionally the fibula can also break just below the knee (Maisonneuve fracture).
This pattern of injury is different to the usual ankle sprain where the ankle rolls over the foot and tears the "low" ankle ligaments.
Therefore, the term "high ankle sprain"
is used for syndesmotic injuries.
Symptoms of Ankle Syndesmotic Injury
Pain is often felt just above the ankle and can spread up the leg. There can also be pain in the inner ankle. Swelling and bruising are often less than expected. A common feeling is instability when trying to pivot on one foot.
Chronic or missed syndesmotic injury can cause long-term ankle pain, weakness during change of direction activities, and even ankle arthritis.
Diagnosis of Ankle Syndesmotic Injury
This injury is often not recognised immediately unless severe or the treating doctor/physiotherapist thinks about it. Fortunately, early treatment is similar to that given for a regular ankle sprain.
Specific examination techniques help make the diagnosis but investigations are always required to confirm and determine severity.
Weight-bearing X-rays comparing both ankles are useful, with MRI, weight-bearing CT and even ankle arthroscopy sometimes required to determine whether the syndesmosis is stable or unstable (see images below).
Treatment of Ankle Syndesmotic Injury
- Clearly stable syndesmotic injuries require reduced weight-bearing with crutches and either a brace or "moon-boot" until comfortable.
- Injuries that may be unstable can wait four weeks to assess progress and allow further investigations.
- Occasionally people need to know immediately if there is instability (elite athletes, etc) and will undergo early ankle arthroscopy +/- syndesmotic stabilisation.
- Clearly unstable syndesmotic injuries need early surgery.
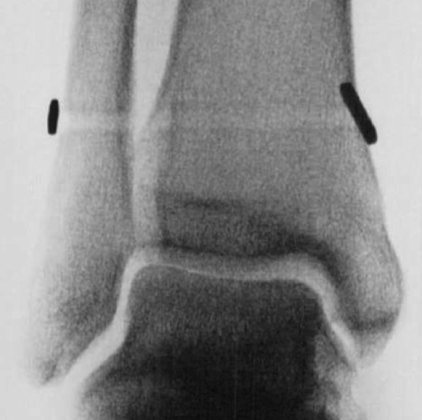
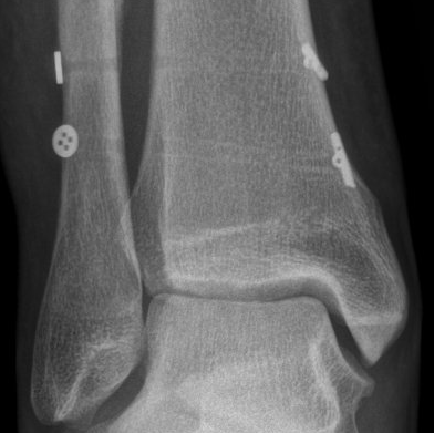
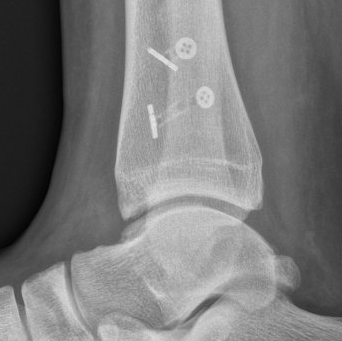
Unstable injuries treated within six weeks of injury require "keyhole surgery"
involving ankle arthroscopy and syndesmotic stabilisation using one or two TightRope or ZipTight
devices (see images below).
This is followed by progressive weight-bearing and a month in a "moon-boot" with physiotherapy-assisted rehabilitation.
Unstable injuries treated after six weeks still undergo ankle arthroscopy but may require open syndesmotic reconstruction protected by an Internal Brace/BioBelt +/- TightRope(s).
Return to running and sport is at least two months following injury or surgery. Full recovery can take six months.
TightRope buttons only need removing in 5% of cases.
Please see the TREATMENTS menu for further information on Ankle Arthroscopy and General Information about Surgery .























