Ankle Fusion and Replacement
Ankle Arthritis Surgery
Before reading this page, please see
Ankle Arthritis under the ANKLE menu for more information.
In Australia, severe ankle arthritis has two surgical treatment options:
- ankle fusion (more common)
- ankle replacement (less common).
Dr Beamond is trained in ankle replacement. However, people interested in this specific procedure should see a surgeon performing it regularly (see below).
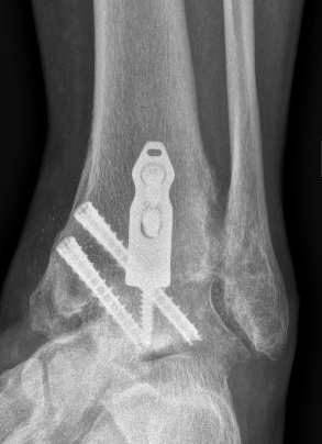
Ankle Fusion (Ankle Arthrodesis)
Ankle fusion is permanently stiffening the bones of the ankle together with plates and screws. This procedure is also known ankle arthrodesis.

Dr Beamond performs ankle fusion using three techniques (see images below):
- arthroscopic ankle fusion
- anterior open ankle fusion
- lateral open ankle fusion.

The aim of fusion is to improve pain and function by removing arthritis and joint instability. It is only recommended after non-surgical treatment has failed to improve symptoms.

A simple way of thinking about fusion is "turning a painful and stiff joint into just a stiff joint".

Most ankle fusions are for arthritis and deformity. A few are done for severe joint instability when no other treatment works.

Fusion is still the best way of treating severe ankle arthritis when there is bone loss, deformity and/or instability. It is also the correct procedure in most people under 60 years of age.

Stiffening the ankle does alter gait and can put extra load on the joints around the ankle. Rocker-sole shoe are very useful in reducing these problems. 90% of people have significant pain relief for life after ankle fusion.
Ankle Fusion Recovery
- calf lengthening
- bone grafting
- requires a one or two night hospital stay
- requires a general anaesthetic in most people
- takes 60 to 90 minutes.
- bandage
- "moon-boot" 24 hrs a day
- crutches, frame or knee-walker
- no weight-bearing
- rest, elevation and ice (RICE)
- careful foot movements
- post-operative appointment.
- "moon-boot" 24 hrs a day
- crutches, frame or knee-walker
- no weight-bearing
- swelling control
- careful foot movements
- post-operative appointment and X-ray.
- "moon-boot" to stand and walk
- crutches, frame or knee-walker
- increasing weight-bearing
- post-operative appointment and X-ray.
- comfortable +/- rocker-sole shoes
- increasing activity
- swelling control.
- 90% of people are helped by surgery
- 10% of people are not helped by surgery
- 1% of people are made worse by surgery.
- driving restrictions (2 to 4 months)
- numbness around scars is common
- swelling takes a year to settle
- fusions do not heal in 5% of cases
- metal implant removal is uncommon
- see General Information about Surgery.
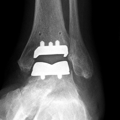
Ankle Replacement (Ankle Arthroplasty)
Replacing the ankle surfaces with metal and plastic has been available for many years but the results have been nowhere near as good as hip and knee replacement.
Ankle replacement technology continues to develop as our understanding of why these implants fail also develops. Better design, materials and patient-specific instruments are making the current generation of implants (2015 and beyond) more reliable (see images below).
Only small numbers are performed in Australia (729 in 2024). For comparison, 30000 hip and 33000 knee replacements are performed each year.
Ankle movement after ankle replacement is not normal. Some restriction and stiffness is common. Significant pain relief occurs in 70% of people.
All joint replacements eventually wear out and "fail". If an ankle replacement needs removing (revision), some are converted to fusion. Re-operation rate (20% at 10 years - for impingement, cysts, etc) and revision rate (14% at 10 years) are still higher than those of hip and knee replacement. Newer implants seem to be doing better.
Ankle replacement is offered to selected people with ankle arthritis. These include low-demand people, those older than 65 years, people with previously fused hindfoot joints, and those with rheumatoid or sero-negative inflammatory arthritis.
As above, Dr Beamond is trained in this surgical procedure. However, he recommends seeing a surgeon performing it regularly. In SA, Drs Peter Stavrou and Thomas Fisher are options. In Victoria, he recommends Drs Geoff Tymms and David Shepherd, and in NSW, Drs Anthony Cadden and Dean Pepper.
Ankle Replacement Recovery
- calf lengthening
- ankle stabilisation
- bone grafting
- requires a two night hospital stay
- requires a general anaesthetic in most people
- takes 90 to 120 minutes.
- bandage
- "moon-boot" 24 hrs a day
- crutches, frame or knee-walker
- no weight-bearing
- rest, elevation and ice (RICE)
- careful ankle and foot movements
- post-operative appointment.
- "moon-boot" 24 hrs a day
- crutches, frame or knee-walker
- touch weight-bearing
- swelling control
- careful ankle and foot movements
- post-operative appointment and X-ray.
- "moon-boot" only to walk long distances
- crutches or frame if needed
- increasing weight-bearing
- physiotherapy for movement and strengthening
- post-operative appointment and X-ray.
- comfortable +/- rocker-sole shoes
- increasing activity
- swelling control.
- 80% of people are helped by surgery
- 20% of people are not helped by surgery
- 5% of people are made worse by surgery.
- driving restrictions (1 to 3 months)
- numbness around scars is common
- running is not recommended after ankle replacement
- swelling takes a year to settle
- impingement pain can require more surgery
- infection can require implant removal
- implant failure and revision surgery as above
- see General Information about Surgery.




















