Foot - Anatomy and Imaging
The foot is a complex structure with both rigid and flexible parts.
It allows bipedal movement over flat and uneven ground, is a shock absorber, and helps balance.
Normal Foot Anatomy
The foot is made up of the hindfoot, midfoot and forefoot. There are 26 bones and over 30 joints.
There are also many tendons, muscles, ligaments and nerves.
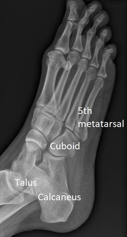
Normal Foot X-rays
Weight-bearing X-rays of the foot show bone alignment, arch height and joint health.






















