Lisfranc Midfoot Injury
What is a Lisfranc Midfoot Injury?
The Lisfranc or tarsometatarsal joints refer to the middle of the foot. This area is critical to supporting the foot's arch. Please see Foot - Anatomy and Imaging to understand more.
Interesting fact : in 1815, Jacques Lisfranc de St Martin, a French surgeon, described injury requiring amputation through the midfoot in horse riders who fell with their foot trapped in the stirrup. Fortunately, this drastic treatment is not required in 2024!
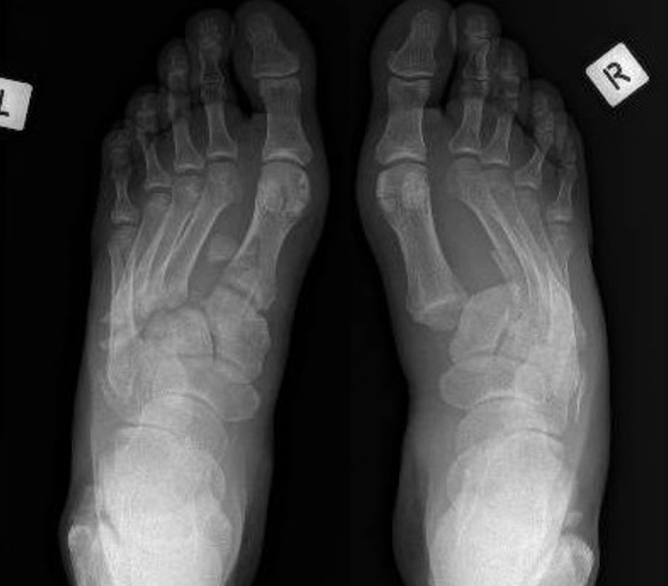
Lisfranc injuries involve soft-tissue (ligament tears) and/or bone (fractures) damage that disrupt this important area (see 3D CT image).
Causes of Lisfranc Midfoot Injury
The most common causes of Lisfranc midfoot injuries are:
- motor vehicle accidents
- slips and falls
- twisting sports (tennis, soccer, football, etc).
Interesting fact : Dr Beamond has fixed Lisfranc injuries in two Australian Matildas players with full recovery to play.
Symptoms of Lisfranc Midfoot Injury
- pain
- swelling and bruising on top and under the foot (see image)
- inability to bear weight or push-off.
Diagnosis of Lisfranc Midfoot Injury
- taking a complete history
- examination of the foot
- imaging investigations.
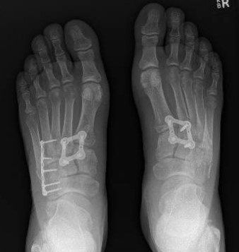
Treatment of Lisfranc Midfoot Injury
- If the midfoot bones and joints remain normally aligned ("stable"), these injuries can be treated without surgery.
- If there is any "instability", surgery is usually recommended to restore alignment and stability. This is proven to reduce the chance of long-term midfoot pain and osteo-arthritis.
Non-surgical Treatment of Lisfranc Injury
- RICE
- immobilisation in a "moon-boot"
- crutches for four to six weeks
- orthotic supports (insoles).
Interesting fact : Dr Beamond has non-surgically treated Adelaide Crows and Adelaide 36ers players with Lisfranc midfoot injuries.

















