Big Toe (1st MTP) Fusion
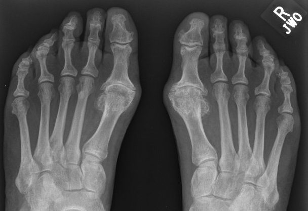
What is Big Toe Arthritis?
There are two joints in the big toe:
- 1st metatarsophalangeal (1st MTP) joint
- Interphalangeal (IP) joint.
The 1st MTP joint moves up and down to help walking. The IP joint moves down and helps push-off during running.
The 1st MTP joint is the most common
foot joint to become arthritic.
- Osteo-arthritis is common
- Other cause include rheumatoid arthritis, gout and severe hallux valgus ("bunion").
Like all arthritic joints, these big toe joints become stiff, painful and bulky.
See Foot Arthritis
under the FOOT menu for further information.
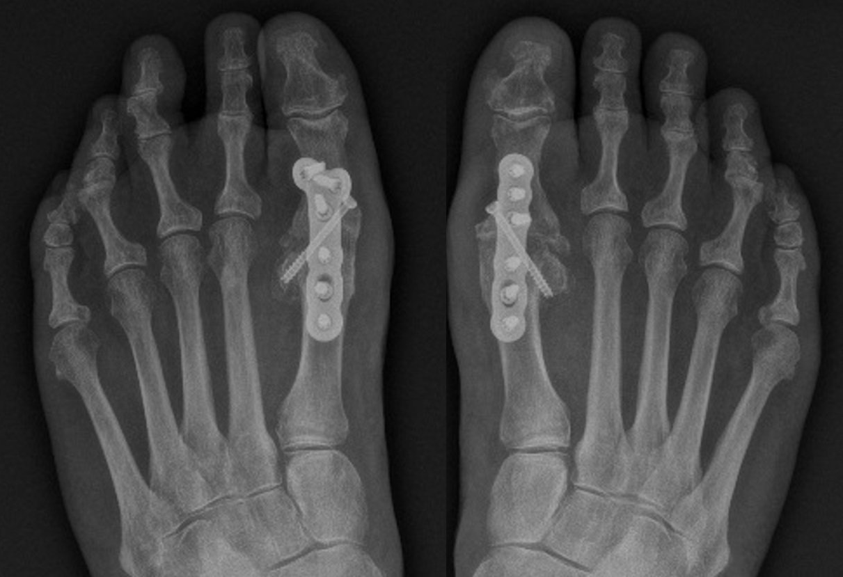
Big Toe (1st MTP) Fusion
This surgical procedure involves fusing the 1st MTP joint in a functional position.
- The worn joint surfaces (cartilage) are removed to healthy bone and joined together with a metal plate and screws.
- Over several months these bones grow together into a single bone.
People return to most activities with limitations, and usually do not run regularly or wear shoes with heels higher than 3cm.
This is the
most reliable
surgical procedure for severe big toe arthritis pain and stiffness.
Big Toe (1st MTP) Fusion Recovery
Surgery is done through a 7cm incision.
Surgery:
- is Day Surgery or one night hospital stay
- requires a general anaesthetic in most people
- takes 45 minutes.
First 2 weeks:
- bandage
- post-op shoe to stand and walk
- crutches or frame for safety
- flat-foot weight-bearing
- rest, elevation and ice (RICE)
- knee and ankle movements
- post-operative appointment.
Next 4 weeks:
- post-op shoe to stand and walk
- flat-foot weight-bearing
- RICE as needed
- knee and ankle movements
- post-operative appointment and X-ray.
Next 6 weeks:
- returning to shoes as swelling allows
- increasing walking duration
- post-op appointment and X-ray (if needed).
Benefits and risks:
- 95% of people are helped by surgery
- 5% of people are not helped by surgery
- 1% of people are made worse by surgery.
Consequences and complications:
- driving restrictions (2 to 8 weeks)
- numbness around scars is common
- swelling takes three months to settle
- fusions do not heal in 5% of cases
- metal implant removal is rare
- see General Information about Surgery.
IMPORTANT
If you have any questions about your planned procedure, contact Dr Beamond before the day of surgery.
The information on this page is of a general nature and does not replace the informed consent process. Other consequences and risks specific (material) to the individual must be discussed prior to surgery.

















