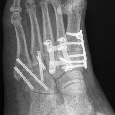
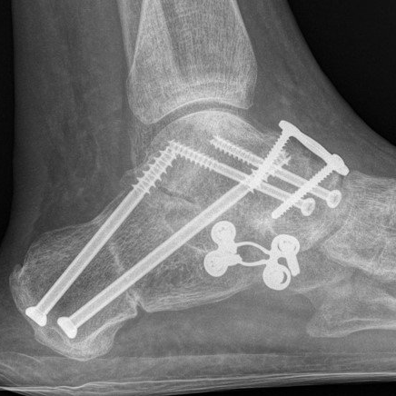
Midfoot and Hindfoot Fusion
What is a Fusion?
Fusion is permanently stiffening
the bones of a joint together with plates, screws and/or staples. This procedure is also known as arthrodesis.
The aim of fusion is to improve pain and function by removing arthritis and joint instability. It is only recommended after a period of non-surgical treatment.
A simple way of thinking about fusion is "turning a painful and stiff joint into just a stiff joint".
Most fusions are done for arthritis. A few are done for severe joint instability when no other treatment works.
The surgical alternative to fusion is joint replacement (arthroplasty) but not all joints have this option. The hip and knee have excellent joint replacements so fusion of these is rarely performed. Ankle replacement is possible but uncommon (see Ankle Fusion and Replacement).
There are no midfoot or hindfoot joint replacements.
What Conditions do Midfoot and Hindfoot Fusion Help?
Midfoot and hindfoot fusion help people with:
Midfoot and Hindfoot Fusion Recovery
This surgical procedure involves fusing one or more of the midfoot and hindfoot joints. A common combination is called a hindfoot "triple fusion".
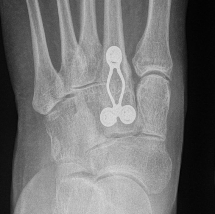
Note: big toe (IP and MTP) joint fusion does not
require a boot or knee walker, just a post-op shoe for 6 to 8 weeks.
Surgery is done through one or several incisions. It can be a major surgical procedure and always takes time to heal.
Other surgical procedures maybe required at the same time:
- calf lengthening or tendon transfer (see Flat Foot Reconstruction)
- bone grafting.
Surgery:
- requires a one or two night hospital stay
- requires a general anaesthetic in most people
- takes 60 to 90 minutes.
First 2 weeks:
- bandage
- "moon-boot" 24 hrs a day
- crutches, frame or knee-walker
- no weight-bearing
- rest, elevation and ice (RICE)
- careful ankle and toe movements
- post-operative appointment.
Next 4 to 6 weeks:
- "moon-boot" 24 hrs a day
- crutches, frame or knee-walker
- no weight-bearing
- RICE as needed
- careful ankle and toe movements
- post-operative appointment and X-ray.
Next 6 weeks:
- "moon-boot" to stand and walk
- crutches, frame or knee-walker
- increasing weight-bearing
- careful ankle and toe movements
- post-operative appointment and X-ray.
Next 9 months:
- comfortable shoes
- increasing activity
- swelling control.
Benefits and risks:
- 90% of people are helped by surgery
- complete pain-relief is rare
- 10% of people are not helped by surgery
- 1% of people are made worse by surgery.
Consequences and complications:
- driving restrictions (2 to 4 months)
- numbness around scars is common
- swelling takes a year to settle
- fusions do not heal in 5% of cases
- metal implant removal is uncommon
- see General Information about Surgery.
IMPORTANT
If you have any questions about your planned procedure, contact Dr Beamond before the day of surgery.
The information on this page is of a general nature and does not replace the informed consent process. Other consequences and risks specific (material) to the individual must be discussed prior to surgery.

















